소식안내
이비인후과 이종대 교수, 희귀질환 ‘2형 신경섬유종증 치료제’ 개발 가능성 제시
순천향대 부천병원 이비인후과 이종대 교수,
희귀질환 ‘2형 신경섬유종증 치료제’
개발 가능성 제시
브로콜리 추출물인 ‘설포라판’의 청신경종양 억제 효과, 동물 실험 통해 입증
순천향대학교 부천병원(병원장 이문성) 이비인후과 이종대 교수가 천연물질을 이용한 인간 신경초종 세포 및 동물 실험을 통해 희귀질환인 ‘2형 신경섬유종증’의 치료제 개발 가능성을 세계 최초로 제시했다.
순천향대학교 부천병원 이비인후과 이종대 교수
최근 SBS ‘순간포착 세상에 이런 일이’에 1형 신경섬유종증을 앓고 있는 심현희 씨의 사연이 소개돼 9억 원이 넘는 후원금이 모인 바 있는데, 1형은 주로 피부에 생기는 종양인데 비해 2형은 주로 뇌와 척수에 종양이 생겨 환자에게 훨씬 더 치명적인 희귀질환이다.
2형 신경섬유종증의 대표적인 병인 ‘양측 청신경종양’은 종양이 커지면 양측 청각 장애를 가져오고, 다른 뇌신경 및 척수에 종양이 성장하면 뇌신경장애 및 상-하지 마비 등을 초래한다.
현재 2형 신경섬유종증은 특별한 치료방법이 없다. 양측 청신경종양일 경우 수술치료가 잘못되면 청각을 모두 상실할 위험이 있고, 방사선 치료 등을 시행하기도 하지만 환자의 상태와 위험도에 따라 경과 관찰만 하는 경우가 대부분이다. 이에 전 세계 연구진들은 치료제 개발에 집중하고 있다.
브로콜리 추출물인 ‘설포라판’이 신경초종 동물모델에서 종양을 억제하는데
효과가 있음을 입증하는 실험 데이터
순천향대 부천병원 이종대 교수 · 미국 하버드 의대 공동 연구팀은 브로콜리 추출물인 ‘설포라판’이 인간의 신경초종(신경을 둘러싸서 받쳐주는 신경초에서 발생하는 종양) 세포 및 생쥐 실험에서 종양을 억제하는데 효과가 있음을 입증했다. 동물 모델을 통해 이를 입증한 것은 세계 최초다.
이 같은 연구결과는 세계적인 과학저널 네이처(Nature)의 자매지 ‘사이언티픽 리포트(Scientific Reports) 11월호’에 게재됐다.
이 교수는 2012년에도 후박나무 추출물인 ‘호노키올’이 청신경종양세포의 성장을 억제하는 데 효과가 있음을 입증하고, 미국이비인후과학회 공식학술지에 논문을 게재한 바 있다.
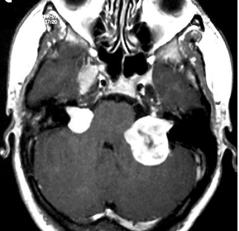
양측 청신경종양을 가진 2형 신경섬유종의 대표 뇌 MRI(자기공명영상)
이종대 교수는 “우리나라 대부분의 2형 신경섬유종 환자들은 유전이 아닌 돌연변이로 발생하는데, 특별한 치료제가 없어 더 이상 상태가 나빠지지 않기만을 바라고 있는 경우가 많다. 미국 등 일부 나라에서는 항암제를 사용하고 있으나 근본적인 해결책은 아닌 상황이다. 따라서 ‘설포라판’과 다른 물질을 조합한 2형 신경섬유종 치료제 개발을 위해 후속 연구를 진행 중이다. 향후 2형 신경섬유종 치료제가 개발되면 비교적 환자가 많은 편측 청신경종양 환자에게도 큰 도움이 되리라 생각한다”고 밝혔다.
한편, 이종대 교수는 2010년부터 ‘2형 신경섬유종 함께하기
(http://cafe.naver.com/neurofibromatosis2)’라는 온라인 네이버 카페를 직접 운영하며, 3차례의 오프라인 환우 모임을 갖는 등 질환 관련 최신 정보를 환자들과 나누고 궁금증을 해소해주고 있다.
이전 교직원 MBA 통해 환자감동·병원혁신실천할 핵심 인재 배출 2016.12.16
다음 김지선 교수, 조현병학회 연구기금 지원 ‘젊은 연구자’ 선정 2016.12.23
